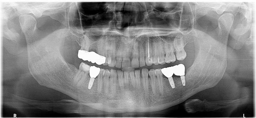
Житель Таллинна Максим (33) в 2019 году обратился в клинику Implanttihoito, чтобы поставить пломбу на зуб. «Однако мне сказали, что все плохо, что зуб надо вырывать и ставить вместо него имплант, — рассказывает мужчина. – Потом ситуация повторилась и с другими зубами. В итоге мне поставили три импланта и мост. Все это лечение обошлось мне в 5000 евро. Бонусом шли боль, осложнения, вызов скорой, капельницы, непрекращающееся кровотечение из просверленной десны, абсцесс и три месяца на кашах. Врач из другой клиники, куда я обратился, мне сказал, что нужно все сносить и заново ставить импланты». Главврач Implanttihoito отказался дать комментарии.
Если вам сейчас кажется, что вы уже слышали название этой клиники и читали статьи про них, то вам не кажется. За последние годы только в «МК-Эстонии» уже было несколько материалов о том, что клиенты клиники Implanttihoito недовольны качеством лечения. Еще несколько пациентов остались за кадром – они сначала обратились в газету, но потом как-то договорились с клиникой и в итоге отказались от публикации.
Другие СМИ в Эстонии тоже активно пишут об этой клинике. Особенно о том, что ее главврач Дмитрий Филиппенко отучился в Эстонии и поехал в 2012 году работать в Финляндию, но там в 2015 году после жалоб пациентов приостановили его лицензию, потому что деятельность его клиник угрожала здоровью пациентов. Он вернулся в Эстонию и беспрепятственно стал лечить людей здесь. Потому что вынесенный в Финляндии запрет на Эстонию не распространяется.
«Мастерский развод»
В клинику Implanttihoito Максим обратился по совету коллеги. И теперь говорит, что, если бы он знал, что простое желание поставить пломбу на зуб превратится в почти трехлетнюю тяжбу, кучу проблем и потерю 5000 евро, он бы никогда в тот злополучный день не пришел бы на прием.
«Но тогда, зимой 2019-го, принимавший меня Дмитрий произвел поначалу очень приятное впечатление, — вспоминает мужчина. – Он сказал, что лечить этот зуб уже нельзя, надо его удалять и ставить имплант».
Оглядываясь назад, Максим говорит, что, видимо, в клинике Implanttihoito все это – удаление зубов, которые еще можно лечить, и активная продажа имплантов — поставлено на поток.
«Так как они специализируются на имплантах, то, похоже, говорят всем пациентам, что лечить нельзя, надо удалять и ставить имплант, — говорит он. – Но тогда я этого не знал и просто поверил доктору в белом халате».
В белом халате, кстати, по словам мужчины, доктора в клинике были не всегда: «Нередко бывало, что врач заходил в кабинет вот так, как я сейчас, в куртке, и даже не помыв руки и не надев перчатки, лез ковыряться у меня во рту. Я не большой сторонник чистоты, но даже для меня это было дико. И я неоднократно просил Дмитрия и его коллег помыть сначала руки и надеть перчатки».
За первым имплантом последовали и второй, и третий. И тоже, по словам мужчины, под тем соусом, что лечить эти зубы уже никак, только удалять. Доктора тем временем постоянно менялись: Максимом занимались то Дмитрий, то Максим, то Семен, то Иван, то Светлана. При этом на сайте клиники в разделе «Врачи» указаны только два доктора: Семен и Светлана. Дмитрий находится в разделе «Главврач». В списке персонала нет ни Максима, ни Константина, хотя в карте визитов указано, что Максима принимал некий Константин, однако по факту доктора звали Иван.
«Там некоторые доктора приезжают из-за границы, потом уезжают обратно, — говорит Максим. – Я не знаю, есть ли у них лицензия в Эстонии? Также по тому же адресу действует еще одна клиника, Smileest, где единственный врач – Максим Колюшко. И бывало так, что я приходил в Implanttihоito, а лечили меня вообще в другой клинике по тому же адресу. А в записях в Digilugu указано вообще E.Eving Hambaravi“.
Он считает, что этот шахер-махер неспроста. И с документами, по его словам, в клинике тоже творится что-то странное: когда он попросил у администратора копию договора, потому что свою потерял, то получил очень странный документ.
«Вскоре мой экземпляр тоже нашелся, я их сверил и выяснилось: в копии, выданной клиникой, — другой адрес, другой номер телефона, другой банковский счет и другой банк вообще (в Латвии). А также указана совершенно другая сумма за лечение, на 1000 евро меньше, чем у меня в договоре, — перечисляет Максим. – То есть не 5000 евро, как изначально, а меньше 4000 евро. Какая-то двойная бухгалтерия! Мне кажется, если налоговики решат эту клинику вдруг проверить, они найдут много интересного».




